
※ISOI(国際口腔インプラント学会)/DGZI Japan
(ドイツ口腔インプラント学会日本支部)認定医
当院のインプラント治療は、担当医師が積極的に海外に出て習得してきた技術と診断力で、患者様に安心・納得いただける治療を提供しております。より適切な診査と診断ができるCT撮影から3Dシミュレーション分析まで、当院でインプラント治療を受けられる方は無料でご利用いただけます。
当院のインプラント治療ではCT撮影を行い、術前診断や手術計画について経験ある医師複数名でチェックを繰り返します。抜歯してそのまますぐインプラントを埋入し、手術を1回で終える『抜歯即時埋入法』や、メスを使わずに専用のパンチ、または歯科用レーザーで歯肉に小さな穴を開け、インプラントを埋入する『フラップレス』などを採用しています。
より良いインプラントシステムを採用し、患者様一人ひとりに合わせて、負担の少ない短期間での治療を目指しております。リラグゼーションのための静脈内鎮静法を用いて、うとうとした状態で痛みの少ない手術を受けていただくことも可能です。リーズナブルな価格でより良いインプラント材料を使用しており、アフターケアも丁寧に対応いたします。
インプラント治療症例集
症例1仕上がりの美しい 前歯インプラント(ワンピースインプラント、ツーピースインプラントの違い)

40代男性、左上1番の1本インプラント治療です。
前歯は抜歯すると骨や歯肉の吸収が大きくなるため、インプラント治療で最も難易度が高く難しいとされる場所です。審美性・機能性の両方において仕上がりの美しいインプラントが必要です。
抜歯後の骨の吸収部分(凹んでる場所)。インプラントと同時に、再生治療にて骨と歯肉を作ります。
インプラント埋入から6週間。同時に人工の骨を使用して、歯肉の幅の形態を治していきます。
さらに歯肉の高さの形態修正を行います(歯の付け根ラインの位置が右左非対称)。
他医院で治療された、よく見かける右左非対称のインプラント治療終了後の写真。この状態は審美的に綺麗ではありません。インプラントの種類によっては、綺麗な仕上がりにできないことが多くあります。(上写真2枚はワンピースインプラントの完成イメージ)
ここから審美的な治療を行い、完成させていきます。
天然歯

ワンピースインプラント
骨の方向にインプラントを埋入せざるを得ないため、全体のバランスが悪くなります。
ツーピースインプラント
骨の方向に関係なくインプラントを理想の位置に埋入できるので、自然な仕上がりにできます。
私が治療を受けるならツーピースインプラントを選択します。

インプラントはその材料や治療法によって、ワンピースインプラントとツーピースインプラントに区分されます。特にワンピースインプラントは歯の審美的な再現が難しく、隙間が空いて食べ物が入りやすいなどの機能的な問題が後で起こりやすいため、私が治療を受けるならツーピースインプラントをお勧めします。
また骨の状態によっては、インプラントを斜めに入れなくてはならないことが多くあります。ツーピースインプラントであればインプラントを斜めに入れる必要があっても、無理のない自由な方向に被せ物が作れるため、インプラント体に負担が少なく、審美的・機能的に優れた理想の形の歯が作れます。インプラントは身体の一部になるものですから、クオリティの高いものを無理なく、長く使って欲しいと思っています。

これはツーピースインプラントの場合。ツーピースインプラントと同時に骨を作る治療(GBR)を行ってから、歯肉を作る治療(CTG)を進める前後の写真です。インプラントと骨と歯肉の治療を行います。当院ではすべてこれを使用しています。仮歯を使用し、黄色い線の位置の天然歯と同じ歯肉の形態に治していきます。

歯があった状態と同じ形態に歯肉が完成。真ん中に見える物はインプラントの一部です(黄色い線の歯肉ラインの厚み、位置がほぼ右左対象に完成)。
歯の生物学的形態に仕上げて完成。ラインもほぼ一致(ツーピースインプラントにて歯肉の完成)。
当院のインプラント治療では、最も難易度が高く難しいとされる前歯部の症例が多数あります。審美性・機能性の2つにこだわりを持っています。症例にあわせて、著名な方やモデル、芸能人の方などの歯を手掛けている一流の技工士にオーダーし、セラミックの歯を作成します。
※前歯部は骨が薄く歯肉も薄いため、インプラント治療を受ける際には前歯のインプラントの症例写真が豊富にある医院かどうか、必ず確認しましょう。
インプラント治療前(赤い部分はインプラント予定部位)。
インプラント治療後。術中にも撮影出来るレントゲンCTを完備しているため、予定部位へ安全、正確にインプラントを行う事が可能です。

症例2前歯を1本だけ失ってしまったケース

歯が折れてしまい仕方なく抜歯が必要となったが、抜歯部位前後の歯を削ってブリッジはしたくない、入れ歯もしたくないとの事でインプラントを希望された患者様です。
- ポイント
-
前歯の治療は全て難症例であり、最初の診査・診断・治療計画がとても重要となります。
ポイントとしては以下の3つがあります。
①歯が残っているか?
②歯の周りの骨は残っているか?
③歯肉がどれくらい残っているか?
歯が残っていれば、歯を抜いたその日にインプラントと仮歯が入る、切らない縫わない、腫れや痛みがほとんどない " 抜歯即時インプラント法 " が可能な場合が多々あります。その場合は当日に歯が入り、さらに状態が良ければ12週間前後で治療が完了します。
もし歯が残っていない場合や歯を抜いてしまった場合は、骨が急激に吸収して歯肉も骨も無くなってしまう事が多いため、インプラントがとても難しくなります(抜歯してから1〜2ヶ月で急速になくなります)。
「とりあえず残せないから歯を抜きましょう」とかかりつけの歯科で歯を抜いてから、セカンドオピニオンとして当院にお越しになる患者様が多くいらっしゃいます。
その場合、まずインプラント治療と同時にGBR(人工骨を使って骨がなくなってしまった部分に骨を作る治療)から開始し、治療が完了するまでに半年以上かかることが多々あります。場合によっては骨を作るGBR治療のみを行い、半年以上待ってからインプラントを入れるので、治療完了まで1年以上かかることもあります。また骨とインプラントが完了しても、歯肉が無く見た目が審美的に綺麗ではない場合、さらにCTG(歯肉を作る治療)を行うケースもあります。
上記の理由から、当院にご相談に来られる際には歯を抜かずにお越しください。もし歯を抜いてしまった場合でも、なるべく早めに来院される事をお勧めします。
当院では、まずはセカンドオピニオンと無料相談でご説明を行った後、当院での治療をご希望いただいた患者様に " 切らない、縫わない、腫れない、痛くない、そして最小限の通院回数と治療期間で完了する、患者様への負担の少ないインプラント " を目指した治療をご提供します。
インターネット上に散見するいろいろな情報は古いものや間違えているものも多く、僕でも驚く事が多いので、インプラントについて何が正しいのか不安に思われている方も多いと思います。インプラントの事でしたら、まずは当院の無料相談でどんな事でもご相談ください。最新の正しい情報をご提供します。
- カウンセリングを通して決まったこと
- " 歯を抜いたその日にインプラントと仮歯が入る、切らない縫わない、腫れや痛みがほとんどない抜歯即時インプラント法 " で、最後はセラミック治療
- インプラント治療を希望する患者さんのほぼ100%が希望すること
- ・きれいにしたい ・ちゃんと噛みたい ・長く使いたい
今回の治療は、歯を抜いたその日にインプラントと仮歯を入れて終了、治療時間は1時間でした。
歯を抜いた箇所にインプラントを入れるので、切らない縫わない、インプラントです。そのため患者様には腫れも痛みもほとんどありませんでした。
その16週間後にセラミックの歯を入れ、治療を完了いたしました。
症例3ほとんど切らない縫わないインプラント治療(パンチ法 腫れの少ない痛みの少ないインプラント)

50代男性、左下奥歯のインプラント治療になります。
当院では必ずCTレントゲン撮影をし、パソコンでインプラントを行う箇所へのCTシミュレーションを行った後にインプラント治療を進めます。インプラント治療をされる方には全員、CT撮影とCT診断を無料で行っています。

麻酔後、インプラントをする箇所に歯肉を取る専用のパンチで小さな穴を開け、インプラントを埋め入れます。上記右の画像は取った歯肉です。麻酔を行っているので、ほとんど痛みは感じられません。
手術後の画像です。通常は歯肉を大きく切って縫うので腫れや痛みが伴いますが、当院では十分な歯肉や骨がある場合歯肉を切ったり縫ったりしないので、術後の腫れや痛みがほとんどありません。
またこの方法では、視認できる部分にあるのはインプラントの上についている仮フタのネジであり、このまま1ヵ月半待った後にそれを外し、そのまま被せ物を作ることができます(通常の方法では、このときに埋まっているインプラントに ” 仮ネジをつけるための頭だし ” を行う2回目の手術をする必要があるため、もう一度切開・ネジ付け・縫合を行わないといけません)。
当院ではツーピースインプラントをお勧めします。

インプラントには、ワンピースインプラントとツーピースインプラントがあります。当院では、コストがかかりますがツーピースインプラントをお勧めしています。前歯や奥歯の場合、インプラントを入れたい方向・角度に骨があるケースが少なく、斜めにインプラントを入れなくてはならないことが多くあるためです。
ツーピースインプラントであれば上記のように斜めに入れる必要があっても、無理のない自由な方向に被せ物が作れるので、インプラント体に負担が少なく、また審美的・機能的にも優れた形の歯が作れます。インプラントは身体の一部になるのですから、無理のない、良い物を長く使って欲しいと思っています。

当院はCTを完備しています。こちらはCTシミュレーションソフトの画像です。難しいケースでは術中にもCT撮影を行い、位置や方向を確認しながら施術を進められるので、インプラントを精密に埋め入れることが可能です。安全が最優先なので、これで失敗や事故などを防ぐことができます。
また、シミュレーションを行った方の個人データからインプラントガイドという道具を作った場合は、CT撮影をせずに精密なインプラント治療を行えます(上記のCT画像は、シミュレーションした部位と実際にインプラントを行った後の比較をするためのものです。インプラントの埋め入れ位置や方向、計測したサイズまで精密に行えています)。
術後1ヵ月半にオールセラミックの被せ物を装着した画像です。当院での施術では、インプラントと被せ物をネジ留めで装着しています(スクリュー固定)。これにより、万一治療後に何かトラブルがあった場合、すぐに外しての修理・交換・メンテナンス等が可能となります。
インプラントにセラミックの歯を装着する方法は、ネジでつける場合と、接着剤(セメント)でつける場合の2通りあります。
接着剤でつける場合、セメントの残りが歯肉の中に残る可能性が多く、それによってインプラントの周りの歯肉の炎症や、骨の破壊などが起こります。また接着剤によって外せないときは、全て壊して外す必要があります。このようにメンテナンスが難しいため、ネジで固定する方法がインプラントを長持ちさせるポイントとなります。
一生を目標に長くインプラントを使用していただくためには、いつかセラミックなどが壊れたりインプラント周りに何かがあった際にすぐに外して修理やメンテナンス対応ができる、しっかりとしたインプラントシステムが大切です。

上記左はインプラント術前、右はインプラント術後の画像です。術後は半年に1度のメンテナンス・クリーニングが大切です。他の歯のメンテナンスももちろんお勧めします。患者様に長く使って欲しい気持ちでこだわってインプラント治療を行っているので、メンテナンスを忘れないで大切に使って欲しいと思います。
症例4なるべく切らない縫わないインプラント治療(抜歯即時埋入法 腫れが少なく痛みの少ないインプラント)

40代女性、左上4番目にインプラントを行います。
虫歯のため歯が折れてしまい、抜歯が必要となりました。抜歯部位前後の歯を削ってブリッジはしたくない、また入れ歯もしたくないとのことで、インプラントをご希望でした。
CTレントゲン撮影後、抜歯部位の骨の状態や量を確認します。患者様に治療方法などを詳しく説明し、インプラントのことを理解された上で、今回は歯を抜いた部分にそのままインプラントを埋め入れする ” 抜歯即時埋入インプラント ” を行いました。
抜歯と同時にインプラントを埋め入れ。術中は麻酔を十分に行っているので、痛みを抑えて施術を進めることができます。

抜歯した箇所にインプラントを埋め入れた後、穴が大きすぎて隙間があったため人工骨(GBR)を使用して骨を作成、また再生療法(CGF・AFG)を使用して歯肉の再生促進を行います。
CGFとは、採血を行い遠心分離機にてフイブリンというゼリー状成分(血液製剤)を作成、それをふたとして使用します。自己血で作るので無害でありさらには治癒が早まります(採血をしない場合は人工コラーゲン膜を代用しています)。
今回のケースでは歯肉は切っていませんが縫合は行い、仮歯を入れて終了しました。術後の腫れや痛みはほとんどありませんでした。この後12週間ほど日を置き、歯(上部セラミック)を作ります。

当院はCTを完備しています。こちらはCTシミュレーションソフトの画像です。難しいケースでは術中にもCT撮影を行い、位置や方向を確認しながら施術を進められるので、インプラントを精密に埋め入れることが可能です。安全が最優先なので、これで失敗や事故などを防ぐことができます。
また、シミュレーションを行った方の個人データからインプラントガイドという道具を作った場合は、CT撮影をせずに精密なインプラント治療を行えます(上記のCT画像は、シミュレーションした部位と実際にインプラントを行った後の比較をするためのものです。インプラントの埋め入れ位置や方向、計測したサイズまで精密に行えています)。
抜歯即時埋入(抜歯と同時インプラントの埋め入れ)から3週が経過した画像です。通常であれば、抜歯のみでもまだ穴が完全にはふさがっていないと思います。治癒がとても早いです。通常ここから3ヵ月待ってインプラント手術を行います、この方法ではもうインプラントが入っています。
12週間後の画像です。抜歯を行うと骨がすぐ吸収して痩せていきますが、抜歯即時埋入は骨が吸収する前に骨を作る方法ですので、歯肉や骨が変化しません。抜歯して放置すると骨が吸収してへこんでしまい、後でインプラント治療を行う場合に影響します。
インプラントと骨が結合(インテグレーション)したら、歯肉下に埋まっているネジを交換して、インプラントの歯(最終補綴物であるセラミック)の型どりを行います。

最終補綴(オールセラミックの被せ物)を付けた画像です。
当院の施術において、インプラントにセラミックの歯をつける際にはすべてネジを用いて固定しています。これは将来的に何かトラブルがあったときに、すぐに外して修理・交換・メンテナンスなどを行えるようにするためです。
インプラントにセラミックの歯を装着する方法は、ネジでつける場合と、接着剤(セメント)でつける場合の2通りあります。
接着剤でつける場合、セメントの残りが歯肉の中に残る可能性が多く、それによってインプラントの周りの歯肉の炎症や、骨の破壊などが起こります。また接着剤によって外せないときは、全て壊して外す必要があります。このようにメンテナンスが難しいため、ネジで固定する方法がインプラントを長持ちさせるポイントとなります。
一生を目標に長くインプラントを使用していただくためには、いつかセラミックなどが壊れたりインプラント周りに何かがあった際にすぐに外して修理やメンテナンス対応ができる、しっかりとしたインプラントシステムが大切です。

上記左はインプラント術前、右はインプラント術後の画像です。術後は半年に1度のメンテナンス・クリーニングが大切です。他の歯のメンテナンスももちろんお勧めします。患者様に長く使って欲しい気持ちでこだわってインプラント治療を行っているので、メンテナンスを忘れないで大切に使って欲しいと思います。
症例5右上3番インプラント 前歯6本のセラミック治療

- カウンセリングを通して決まったこと
-
・見た目を綺麗に仕上げる治療(審美治療)
・前歯6本のダイアモンドセラミック治療、左上3番目の抜歯および同時インプラント埋入
・同時に再生療法による増骨手術も行う。審美歯科を行う
-
右上3番の歯の抜歯が必要となり、前歯の見た目も綺麗にしたいが、ブリッジでの治療は負担が大きく、再治療にはなりたくないのでインプラントを決意。 -
痛くない治療と、1回のみのオペで終わる事が可能な、抜歯と同時に行うインプラント埋入を希望されました。 -
抜歯した箇所にインプラントを入れます。ドリルなどをほとんど使用しない、出血や痛みなどをほとんど感じない治療方法を採用。 -
術後の様子です。ご希望通りの綺麗な仕上がりとなりました。


症例6右下4.5.6番の3本インプラント治療

- ポイント
-
・右に歯がないので噛めない
・入れ歯は入れたくない
・左ばかりで噛んでいたら歯も顎も痛くなった
・硬いものが噛めなくなってきた - カウンセリングを通して決まったこと
-
・見た目を綺麗に仕上げる治療(審美治療)
・再治療をしたくないので、硬くて壊れにくいダイアモンドセラミック希望
・材質のよいインプラントを使用
・噛み合わせが強いので、インプラントBRではなく3本での単冠インプラント使用
症例7右上4~6番インプラントブリッジ ダイアモンドセラミック治療

- ポイント
-
・右上奥歯3本がぐらついて気になる(写真では2本抜歯済み)
・右上4番目の銀歯も抜歯が必要
・歯周病が重症のため、骨があまりない
・入れ歯はだめ
・見た目を白い歯にしたい、しっかり噛めるようにしたい
・骨がないので副鼻腔を人工骨で増骨する必要がある - カウンセリングを通して決まったこと
-
・右上4番目の銀歯の抜歯が必要
・インプラント2本でのブリッジで完成
・骨がないので、人工骨にてインプラント部位へ骨を造成する(サイナスリフト、またはソケットリフトによる増骨手術)
・割れない、壊れにくいダイヤモンドセラミックで補綴を行う(ジルコニアボンド)
-
術前1 -
術後1 -
術前2 -
術後2 -
CTレントゲン -
人工骨で副鼻腔を増骨し、インプラント治療後にCTレントゲンで確認します。
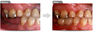
症例8右下5番インプラント治療

- ポイント
-
・切らない縫わないインプラント治療を希望
・痛いのは苦手
・白い歯にしたい - カウンセリングを通して決まったこと
-
・右下に1本インプラント治療
・レントゲンCTで確認したところ骨が十分にあるので、切らない縫わないインプラント治療が可能(パンチ法)
・ほとんど切らないので、痛みを最小限に
・被せ物はダイアモンドセラミック(ジルコニア)にして治療を行う
-
術前の様子です。 -
麻酔後です。少し出血があります。 -
歯肉にパンチ法にて一部を除去しました。 -
インプラントオペ後です。通常は歯肉を大きく切って縫うので腫れや痛みが伴いますが、当院では十分な歯肉や骨がある場合歯肉を切ったり縫ったりしないので、術後の腫れ、痛みがほとんどありません。このまま6週間待って型を取ります。 -
完成しました。白いダイアモンドセラミックの真ん中の部分は、万一セラミックが壊れたり歯周病が発症した場合にメンテナンスが出来るよう、スクリュー固定にしてあります。いつでも外して修理ができます。 -
術後レントゲンです。 -
術後に撮影したCT結果です。埋入したインプラントの安全な位置・厚み・角度を確認できます。 -
術後の様子です。
症例9上の歯すべて連続のインプラントでのブリッジ(ガイドを使ったオールオン8)

- ポイントと要望
-
・上の歯のブリッジが壊れて全部取れたので噛めない(すぐに仮歯が必要)
・残っている歯がもう使える状態ではない(すべて抜歯が必要)
・見た目を綺麗に治したい
・入れ歯にはしたくない - カウンセリングを通して決まったこと
-
・8本のインプラントを埋入してインプラントブリッジ
・インプラントを行う右上の部位に骨がないので、人工骨にて増骨する(下の写真の赤丸部位)
・見た目が綺麗なまま劣化することのない、ジルコニアで作成したダイアモンドセラミックのブリッジで完成
・痛くない、腫れない治療をご希望のため、ガイドを使ったメス不使用のインプラント手術を採用(そのため " 切らない、縫わないインプラント " が可能)
-
術前 -
術後 -
ガイドを使用する事により、インプラント8本の埋入位置や平行性などを精密に反映したインプラント手術が行えた。赤丸部位は人工骨にて増骨(ソケットリフト法にてGBR)。 -
(メスを使わない、ガイドを使ったインプラント埋入手術。条件が合えば可能な治療法) -
ガイドを外した状態です。 -
上部構造をAll-on-8で製作した、ダイアモンドセラミックスでのジルコニアブリッジです。
(今回は理由があり、左上奥のインプラントでは埋入未使用)(今回は理由があり、左上奥のインプラントでは埋入未使用) -
治療後の様子です。
症例10右下6番インプラント治療(抜歯と同時埋入)

- ポイントと要望
-
・右下6番の抜歯が必要(残せない)
・早く噛めるようにしたい
・見た目を綺麗にしてほしい - カウンセリングを通して決まったこと
-
・抜歯と同時にインプラントを行う
・インプラント部位の骨がないので、骨と歯肉の再生療法も同時に行う
・被せ物は壊れにくいダイアモンドセラミックス希望
-
術前です。虫歯がひどく、残せないので抜歯が必要となりました。 -
抜歯と同時にインプラント手術を行います。抜歯部位には人工骨と、患者様自身から採血して遠心分離機によって抽出したフィブリンを使用し、再生療法を行う流れです。 -
再生療法CGF(フィブリン)による、骨や歯肉の治癒促進を行っています。 -
オペ3ヶ月後。通常は抜歯後に時間が経つと骨が吸収され、無くなって凹んでしまいますが、抜歯と同時にインプラントオペをしたことにより骨の吸収もなく、綺麗に治癒しています。こちらのインプラントは埋まっている状態です。 -
埋まっているインプラントのネジを交換して ” 頭出し ” をし、被せ物の型どりの準備を行います。 -
抜歯前の術前の様子です。 -
インプラントをした箇所のセラミック治療後の画像です。 -
術後1年半後の様子です。骨の吸収も見られず、問題なく経過しています。
症例11総入れ歯よ さようなら 当日に歯が入るインプラント

- ポイントと要望
- ・入れ歯でよく噛めないため、インプラント治療で自分の歯のように噛めるようになりたい
-
《 ガイド 》
まず下の歯において、" ガイドを使って切らない縫わないインプラント治療 " を行いました。 -
《 埋入前 》 -
《 埋入後 》 -
《 埋入前 》
普段は世界シェア率がNo.1であるストローマン社のインプラントを使用していますが、今回は骨が少ない為、アジアシェア率No.1のオステム社インプラントを使用しました。オステム社のインプラントは、顎の骨が小さかったり少なかったりするアジア人に向いているように開発されたインプラントです。また、このインプラントによって1日で仮歯まで入れて、施術当日に食事する事も可能です。 -
《 仮歯 》 -
《 埋入後 》 -
今回の手術では、1時間程度で仮歯まで入れる事ができました。
術後1ヶ月以上の間を置き、最終的なセラミックの歯を作製する予定です。
それまでの間に、次回は上の歯において " ガイドを使って切らない縫わないインプラント治療 " を行う予定です。





















